top of page
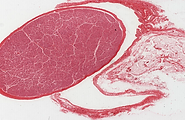
Testiculo- Epididimo
Testiculo-Epididimo- H-E-40X
Testitculo- Epididimo- H-E-40X
Testiculo- Epididimo- H-E-40X
Testiculo-Regaud-Hem & Van Gieson -40X
Aparato reproductor masculino
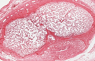
Cordon espermatico
Testiculo-Inmaduro- H-E-40X
Cordon espermatico- H-E- 20x
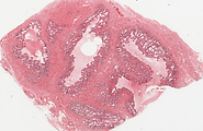
Vesicula seminal- Prostata
Vesicula seminal- H-E- 20X
Pene
Pene- H-E- 20x
Prostata- H-E- 20x
Prostata- H-E- 40x
Prostata- Masson- 20x
Vesicula seminal - H-E- 20x
bottom of page












