top of page
Aparato reproductor femenino
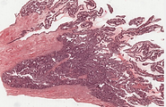
Ovario
Ovario- H-E-40X
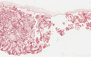
Ovario- H-E-40X
Ovario- H-E-40X
Ovario- H-E-40X
Ovario- H-E-40X
Oviducto- Infundibulo- H-E-40X
Ovario- Mallory-40X
Ovario- H-E-40X
Oviducto
Utero- Fase secretora (temprana)- H-E-40X
Utero- Proliferativo- H-E-40X
Oviducto- Utero- H-E-40X
Oviducto- Istmo- H-E-40X
Ovario- ampolla- H-E-40X
Utero
Cervix- Tricromico-40X
Cervix- H-E-40X
Utero- Fase menstrual- H-E-40X
Utero- Fase Secretora- H-E-40X
Cervix-Vagina
Placenta- Tardia- H-E-40X
Placenta- Tardia- H-E-40X
Placenta- Temprana- H-E-40X
Vagina- Tricomico -40X
Vagina- H-E-40X
Placenta
Mama- Activa- H-E-40X
Mama- Inactiva- H-E-20X
Mama- Pezon- H-E-40X
Mama
bottom of page

























