top of page
Sistema tegumentario
Piel y anexos cutaneos
Piel gruesa- H-E- 40X
Piel gruesa-Planta del pie- H-E- 40X
Piel fina- Raza negra- H-E- 40X
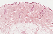
Piel fina- H-E- 40X
Piel fina- H-E- 40X
Cuero cabelludo- H-E- 40X
Piel gruesa- componentes sensitivos- H-E- 40X
Glandulas apocrinas- Tricromico de Masson- 40X
Videos
Piel gruesa, descripcion histologica.
bottom of page








